Featured Post

View Humerus Bone Fracture Plate UK

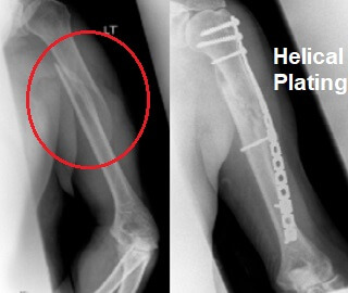
View Humerus Bone Fracture Plate UK. Most fractures of the proximal humerus can be treated without surgery if the bone fragments are not shifted out of position (displaced). A humerus fracture is a break somewhere along the upper arm bone.

Https Tcomn Com Wp Content Uploads 2015 04 The Proximal Humerus Fracture Book Pdf
Https Tcomn Com Wp Content Uploads 2015 04 The Proximal Humerus Fracture Book Pdf from
It is the longest bone of the upper extremity. The broken parts of the tibia line up and in severe cases, surgery may be necessary to make sure the bone heals properly. Humeral fractures can be classified into three types, depending on which.

The humerus is the long bone in your upper arm that connects your shoulder joint to your elbow joint.

Alibaba.com offers 996 humerus fracture plates products. The broken parts of the tibia line up and in severe cases, surgery may be necessary to make sure the bone heals properly. A humerus fracture is a break in the large bone of your upper arm. The humerus is the long bone in your upper arm that connects your shoulder joint to your elbow joint.

Comments